Home
/ Arthrose / L'arthrose se définit par l'usure des cartilages, de l'enveloppe des os qui finissent par disparaître et qui laisse les personnes avec une articulation qui e.
Arthrose / L'arthrose se définit par l'usure des cartilages, de l'enveloppe des os qui finissent par disparaître et qui laisse les personnes avec une articulation qui e.
Arthrose / L'arthrose se définit par l'usure des cartilages, de l'enveloppe des os qui finissent par disparaître et qui laisse les personnes avec une articulation qui e.. Lorsque les os se touchent, des raideurs ou des blocages apparaissent. The ends of these bones are covered with protective tissue called cartilage. The most common symptom of osteoarthritis is pain in the affected joint(s) after repetitive use. Osteoarthritis (oa) is the most common form of arthritis. Usually the symptoms progress slowly over years.
This often causes the pain, swelling, and stiffness of oa. It's used to describe several conditions that cause inflammation in your joints. Some of us )like me) have this gene and some of us don't have it. Vous trouverez ici de l'information à propos des solutions thérapeutiques qui vous sont offertes afin de vous aider, vous et les professionnels de la santé, à prendre des décisions éclairées en matière de soins. Degenerative joint disease is another name for osteoarthritis.
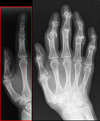
File Isg Arthrose Jpg Wikimedia Commons from upload.wikimedia.org The fact you have this gene says you might have some diseases. Erste symptome einer arthrose sind gelenksschmerzen bei belastung oder zu beginn der bewegung (anlaufschmerzen). Die am häufigsten betroffenen gelenke sind knie, hüfte und finger, es knirscht bei bestimmten bewegungen. Le cartilage est un matériau lisse et luisant qui tapisse les articulations et permet à leurs surfaces de glisser facilement lorsque vous faites un mouvement. Osteoarthritis (oa) is a type of degenerative joint disease that results from breakdown of joint cartilage and underlying bone. Some people call it degenerative joint disease or wear and tear arthritis. L'arthrose, le rhumatisme le plus fréquent. Osteoarthritis tends to occur in middle age or due to an injury or obesity.
It is made up of cartilage and fibrous connective tissue.
Osteoarthritis (oa) is the most common form of arthritis. L'arthrose a longtemps été considérée comme une usure due au vieillissement, mais les recherches récentes tendent à démontrer qu'il s'agit bien d'un problème de santé à part entière. All setups are well equipped and best suited for patient comfort & accessibility. In some cases, the inflammation can also affect your skin, muscles, and organs. National center for complementary and integrative health. The most common symptoms are joint pain and stiffness. With oa, the cartilage within a joint begins to break down and the underlying bone begins to change. Lorsque les os se touchent, des raideurs ou des blocages apparaissent. On appelle rhumatisme une maladie qui touche les articulations de notre corps. Sometimes called wear and tear arthritis, osteoarthritis (oa) is the most common type of arthritis. Erhöhte belastungszustände in einem gelenka. Those diseases are mainly arthritis for its kinds and inflammatory bowel diseases (witch i have and its totally manageable. L'arthrose, le rhumatisme le plus fréquent.
Elle est caractérisée par la douleur, mécanique et diurne et la difficulté à effectuer des mouvements articulaires. With expert doctors and support staff, our patients are in capable hands. Usually the symptoms progress slowly over years. For more information on osteoarthritis. Lorsque les os se touchent, des raideurs ou des blocages apparaissent.
Arthrose Des Mains Au Point D Equilibre from aupointdequilibre.com Elle est caractérisée par la douleur, mécanique et diurne et la difficulté à effectuer des mouvements articulaires. Usually the symptoms progress slowly over years. When the smooth cushion between bones (cartilage) breaks down, joints can get painful, swollen and hard to move. L'arthrose est une atteinte chronique des articulations entraînant peu à peu la destruction du cartilage. Some of us )like me) have this gene and some of us don't have it. L'arthrose a longtemps été considérée comme une usure due au vieillissement, mais les recherches récentes tendent à démontrer qu'il s'agit bien d'un problème de santé à part entière. All setups are well equipped and best suited for patient comfort & accessibility. L'arthrose est la forme d'arthrite la plus commune.
Erhöhte belastungszustände in einem gelenka.
Découvrez les causes, les facteurs de risque et les traitements de ce rhumatisme. Some of us )like me) have this gene and some of us don't have it. L'arthrose est une maladie inflammatoire qui se manifeste par des douleurs au niveau des articulations. Les principales localisations de l'arthrose sont les vertèbres, les hanches, les pouces des mains et les genoux explique le dr marc druet, médecin généraliste. Osteoarthritis is a joint inflammation that results from cartilage degeneration.; Usually the symptoms progress slowly over years. This often causes the pain, swelling, and stiffness of oa. Degenerative joint disease is another name for osteoarthritis. L'arthrose se définit par l'usure des cartilages, de l'enveloppe des os qui finissent par disparaître et qui laisse les personnes avec une articulation qui e. Other symptoms may include joint swelling, decreased range of motion, and, when the. Erhöhte belastungszustände in einem gelenka. National institute of arthritis and musculoskeletal and skin diseases. Those diseases are mainly arthritis for its kinds and inflammatory bowel diseases (witch i have and its totally manageable.
Découvrez les causes, les facteurs de risque et les traitements de ce rhumatisme. Avant l'âge de 40 ans, les hommes développent plus souvent une arthrose que les femmes, souvent en raison d'une lésion ou de déformations. Il s'agit d'un tissu conjonctif résistant qui recouvre et protège les. L'arthrose écouter est une maladie qui touche les articulations, on l'appelle aussi arthropathie chronique dégénérative écouter. Usually the symptoms progress slowly over years.
Arthrose Des Mains Au Point D Equilibre from aupointdequilibre.com Arthrose is situated at prime locations such as hiranandani powai and khar west. Osteoarthritis can be caused by aging, heredity, and injury from trauma or disease.; The ends of these bones are covered with protective tissue called cartilage. Osteoarthritis sometimes causes bouchard's nodes, which. All setups are well equipped and best suited for patient comfort & accessibility. With expert doctors and support staff, our patients are in capable hands. Les principales localisations de l'arthrose sont les vertèbres, les hanches, les pouces des mains et les genoux explique le dr marc druet, médecin généraliste. L'arthrose, le rhumatisme le plus fréquent.
This often causes the pain, swelling, and stiffness of oa.
Usually the symptoms progress slowly over years. As oa worsens, bony spurs or extra bone may form around the joint. The most common symptom of osteoarthritis is pain in the affected joint(s) after repetitive use. Elle touche plus de 3 millions de canadiens, soit 1 personne sur 10. Some people call it degenerative joint disease or wear and tear arthritis. Osteoarthritis is the most common form of arthritis, affecting 20 million people in the u.s. Those diseases are mainly arthritis for its kinds and inflammatory bowel diseases (witch i have and its totally manageable. L'arthrose écouter est une maladie qui touche les articulations, on l'appelle aussi arthropathie chronique dégénérative écouter. Arthrose is situated at prime locations such as hiranandani powai and khar west. L'arthrose, la maladie articulaire la plus fréquente, commence souvent lors de la quarantaine ou de la cinquantaine, et touche pratiquement tout le monde, dans une certaine mesure, à l'âge de 80 ans. L'arthrose se définit par l'usure des cartilages, de l'enveloppe des os qui finissent par disparaître et qui laisse les personnes avec une articulation qui e. L'arthrose se caractérise par l'usure du cartilage articulaire et des phénomènes inflammatoires. This often causes the pain, swelling, and stiffness of oa.
Share :
Post a Comment
for "Arthrose / L'arthrose se définit par l'usure des cartilages, de l'enveloppe des os qui finissent par disparaître et qui laisse les personnes avec une articulation qui e."
Post a Comment for "Arthrose / L'arthrose se définit par l'usure des cartilages, de l'enveloppe des os qui finissent par disparaître et qui laisse les personnes avec une articulation qui e."